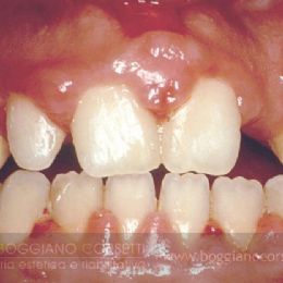
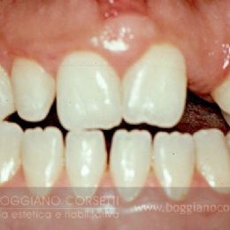
Gengivo plastica
Quando la parabola gengivale presenta piccole bozze o anomalie di forma, si può correggere il difetto con la chirurgia plastica.
Invece del bisturi, nel nostro studio utilizziamo l’ultramoderno laser KTP, che grazie all’effetto emostatico, coagulante e cicatrizzante permette un’operazione incruenta e perfetta: mentre incide i tessuti, infatti, il laser li “sigilla”, rendendo praticamente nullo il sanguinamento intra-operatorio e superflui i punti di sutura.
Inoltre, grazie alla capacità di decontaminazione e al potere battericida, il laser riduce il rischio di infezioni e recidive, evitando i disagi (gonfiore, infiammazione) che solitamente si verificano dopo un intervento.
Altre qualità del laser: sensazione dolorosa molto ridotta, rapida rimarginazione/guarigione delle ferite, complicazioni e fastidi post-operatori azzerati.




