Album fotografici
Interventi
Gengivoplastica
Correzione di imperfezioni della parabola gengivale con chirurgia plastica.
Ricostruzioni
Ricostruzioni estetiche in composito
Internal bleaching
Sbiancamento denti devitalizzati o Internal bleaching
Intarsi in composito
Gli intarsi sono otturazioni eseguite in laboratorio, cementate nella cavità dentaria precedentemente preparata.
Smile Make-Over
Impianti con la tecnica del carico immediato
Lo 'smile makeover' è un approccio multidisciplinare di odontoiatria estetica, che implica l'utilizzo di una serie di trattamenti e procedure odontoiatriche.
Smile Make Over
Lo 'smile makeover' è un approccio multidisciplinare di odontoiatria estetica, che implica l'utilizzo di una serie di trattamenti e procedure odontoiatriche.
Smile Make Over
Lo 'smile makeover' è un approccio multidisciplinare di odontoiatria estetica, che implica l'utilizzo di una serie di trattamenti e procedure odontoiatriche.
Smile Make Over
Lo 'smile makeover' è un approccio multidisciplinare di odontoiatria estetica, che implica l'utilizzo di una serie di trattamenti e procedure odontoiatriche.
Smile Make Over caso complesso
Lo 'smile makeover' è un approccio multidisciplinare di odontoiatria estetica, che implica l'utilizzo di una serie di trattamenti e procedure odontoiatriche.
Smile Make Over
Lo 'smile makeover' è un approccio multidisciplinare di odontoiatria estetica, che implica l'utilizzo di una serie di trattamenti e procedure odontoiatriche.
Smile Make Over
Lo 'smile makeover' è un approccio multidisciplinare di odontoiatria estetica, che implica l'utilizzo di una serie di trattamenti e procedure odontoiatriche.
Smile Make Over
Lo 'smile makeover' è un approccio multidisciplinare di odontoiatria estetica, che implica l'utilizzo di una serie di trattamenti e procedure odontoiatriche.
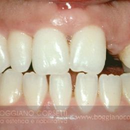
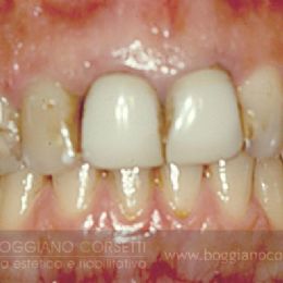
Restauri Metal-Free
Ponti e corone nel settore posteriore
Sostituzione di corone con il bordino metallico e/o esteticamente inadeguate
Sostituzione di corone con il bordino metallico e/o esteticamente inadeguate
Sostituzione di corone con il bordino metallico e/o esteticamente inadeguate
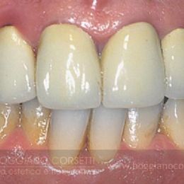
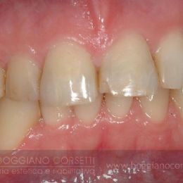
Restauri Metal-Free
Sostituzione di corone con il bordino metallico e/o esteticamente inadeguate
Restauri Metal-Free
Sostituzione di corone con il bordino metallico e/o esteticamente inadeguate
Restauri Metal-Free
Sostituzione di corone con il bordino metallico e/o esteticamente inadeguate
Faccette
Faccette per ortodonzia istantanea
Le faccette sono sottili gusci di ceramica: applicate sulla superficie esterna del dente, ne mascherano imperfezioni legate al colore, alla forma o alla posizione.
Faccette disegni
Le faccette sono sottili gusci di ceramica: applicate sulla superficie esterna del dente, ne mascherano imperfezioni legate al colore, alla forma o alla posizione.
Faccette per denti con forme scorrette o usurate
Le faccette sono sottili gusci di ceramica: applicate sulla superficie esterna del dente, ne mascherano imperfezioni legate al colore, alla forma o alla posizione.
Faccette per denti con difetti dello smalto
Le faccette sono sottili gusci di ceramica: applicate sulla superficie esterna del dente, ne mascherano imperfezioni legate al colore, alla forma o alla posizione.
Faccette per denti con anomalie di forma
Le faccette sono sottili gusci di ceramica: applicate sulla superficie esterna del dente, ne mascherano imperfezioni legate al colore, alla forma o alla posizione.
Faccette per otturazioni con difetti di colore
Le faccette sono sottili gusci di ceramica: applicate sulla superficie esterna del dente, ne mascherano imperfezioni legate al colore, alla forma o alla posizione.
Faccette per denti che presentano diastemi
Le faccette sono sottili gusci di ceramica: applicate sulla superficie esterna del dente, ne mascherano imperfezioni legate al colore, alla forma o alla posizione.
Faccette per denti che presentano discromie
Le faccette sono sottili gusci di ceramica: applicate sulla superficie esterna del dente, ne mascherano imperfezioni legate al colore, alla forma o alla posizione.
Amalgama dentale
Sostituzione amalgama - parte 2
Sostituzione di otturazioni in amalgama con otturazioni estetiche o intarsi
Sostituzione amalgama - parte 1
Sostituzione di otturazioni in amalgama con otturazioni estetiche o intarsi



























