Intarsi in composito o in ceramica
Gli intarsi sono otturazioni eseguite in laboratorio, cementate nella cavità dentaria precedentemente preparata.
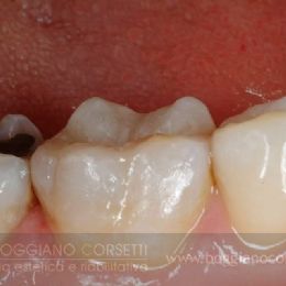
Si utilizzano principalmente per i denti posteriori, cioè premolari e molari dove è facile che la cavità sia di grosse dimensioni, per ovviare alla contrazione del materiale composito durante la polimerizzazione (vedi anche otturazioni in composito).
In altre parole, il dente viene preparato come per un’otturazione che, invece di essere effettuata dal dentista, viene eseguita dal laboratorio, che gestirà alla perfezione la zona di chiusura del restauro sul modello.
Infatti, dopo la rimozione delle vecchie otturazioni difettose o della carie, l’impronta della cavità (realizzata con un materiale di precisione) verrà inviata al laboratorio.
Qui l’odontotecnico realizza, in composito o in ceramica, l’equivalente della parte mancante che riempirà la cavità con estrema precisione, ricostruendo la forma originaria del dente.
L’intarsio verrà poi cementato nella cavità durante una seconda seduta in studio: qui utilizziamo una speciale procedura adesiva e un sottilissimo film di cemento composito che elimina ogni spazio intermedio, così da ridurre al massimo il rischio infiltrazione batterica.
Il risultato sarà un’adesione chimica tra il dente e intarsio, che restituisce al dente la sua originaria integrità.
Vantaggi e svantaggi degli intarsi
-
Esteticamente molto validi
-
Elevata precisione nella chiusura marginale
-
Ottima durata nel tempo
-
Ottima biocompatibilità
-
Più costosi rispetto ad una corrispettiva otturazione in composito
-
Necessarie due sedute di trattamento
Di che materiale possono essere fatti gli intarsi?
Gli intarsi possono essere fatti di vari materiali: d’oro, di ceramica o di resine composite, anche se oggigiorno tendiamo a non utilizzare l’oro per motivi di carattere puramente estetico.
Valuteremo, comunque, ogni singolo caso per scegliere il materiale più adatto alle tue necessità estetiche (posizione del dente in arcata) e funzionali (carico masticatorio, profondità della cavità da trattare).
Negli intarsi in composito o in ceramica il colore viene scelto in base a quello del dente da restaurare e dei denti vicini, in modo da avere un effetto naturale.
La preparazione di questi manufatti è simile agli a quella intarsi in oro, ma invece di fondere il metallo si modella il materiale estetico che viene fatto poi “indurire” in forno.
In generale, tutti i denti posteriori (molari e premolari) possono essere ricostruiti con intarsi in composito o in ceramica, mentre i denti frontali (incisivi e canini) vengono trattati con otturazioni di composito o, in caso di grosse cavità, si preferisce utilizzare delle faccette .
Vantaggi e svantaggi degli intarsi in ceramica e in composito
Essendo privi di metallo, gli intarsi in ceramica e in composito permettono alla luce di passarvi attraverso, con un buon effetto di naturale traslucenza.
-
La ceramica, però, ha una maggior capacità di trasparenza, che la rende il materiale d’elezione nei casi un cui al dente debba essere ripristinata in toto o in parte una parete vestibolare.
-
Presenta inoltre una grande resistenza all’abrasione, elemento fondamentale nel mantenere inalterati i punti di contatto occlusali
-
Per contro, gli intarsi in composito, venendo cementati con un materiale resinoso che non è altro che un composito allo stato più fluido, risultano in una migliore continuità con le pareti del dente da restaurare, e non necessitano di ritocchi nel tempo nel punto di passaggio tra dente e intarsio, avendo il cemento lo stesso coefficiente di abrasione dell’intarsio in composito.
Questa necessità, invece, si può verificare nei manufatti in ceramica, dove il coefficiente di abrasione del film di cemento è più debole rispetto a quello della ceramica.
Entrambi i materiali sono estremamente biocompatibili, e non si sono mai riscontrate allergie, come invece per certi metalli.







