Smile make-over
Lo “smile makeover” (letteralmente “rifacimento del sorriso”) è un approccio multidisciplinare di odontoiatria estetica, che implica l’utilizzo di una serie di trattamenti e procedure odontoiatriche (ortodonzia pre-protesica, chirurgia estetica gengivale, odontoiatria cosmetica) per armonizzare il tuo sorriso.
Lo smile make-over richiede un stretto rapporto di collaborazione tra i vari specialisti, che, in un dialogo costante e continuo, focalizzano i loro sforzi nel l’ottimizzare una serie di fattori importantissimi, quali l’allineamento dentale, la simmetria delle parabole gengivali, la mancanza di denti e altri ancora. I risultati possono essere eclatanti, come potete vedere nei casi sotto riportati.
Prendi un appuntamento per una consulenza per sapere come puoi migliorare il tuo sorriso!
Saremo lieti di aiutarti a scoprire le possibilità che l’odontoiatria più avanzata può offrirti.
La dr. Corsetti valuterà con te la tua situazione , insieme a lei puoi chiarire desideri e aspettative.
Quindi si procede alla raccolta dati, fondamentale per avere ogni informazione sulla tua bocca e il tuo sorriso.
Parliamo di: fotografie, esami radiografici, modelli di studio delle arcate dentarie, valutazioni occlusali, funzionali, articolari,parodontali ed estetiche.
Il nostro staff, quindi, lavorerà con te per offrirti un piano di trattamento che sia il più idoneo alle tue necessità e ai tuoi desideri, mettendo in atto tutte le tecniche più innovative e strumentario all’avanguardia per il raggiungimento del risultato che ci siamo prefissi.
Il nostro team ha le conoscenze, la capacità e l’esperienza per trasformare una bocca insoddisfacente in un sorriso affascinante.
I seguenti casi riguardano persone proprio come te.
Leggile loro storie e guarda gli incredibili cambiamenti ottenuti con l’odierna odontoiatria estetica.
Quello che non possiamo mostrarti con le foto sono i cambiamenti nella loro vita.
La cosa più gratificante per noi, nel realizzare il loro sogno, è partecipare alla gioia dei nostri pazienti che finalmente sono ritornati a sorridere.
Caso 1
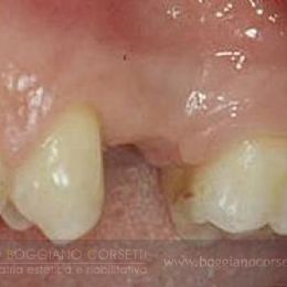
Questo è un caso in cui sono stati cambiati la posizione, la forma e le dimensioni dei denti per ottenere una proporzione più gradevole.
La prima cosa che viene subito all’attenzione è il contorno gengivale sgradevole perché il margine gengivale del laterale di sin. si è retratto in seguito ad una scorretta riabilitazione protesica.
La simmetria gengivale, la cosiddetta estetica rosa, è un parametro fondamentale da tenere in considerazione nelle riabilitazioni estetiche. Infatti, un tessuto gengivale sano, anche dal punto di vista architettonico, è un altrettanto importante fattore estetico.
Le parabole gengivali sono state corrette con il trattamento ortodontico.
mentre la forma ed il colore dei denti sono state corrette con faccette estetiche e corone in ceramica integrale con l’intervento della dr. Corsetti.
Notate come le dimensioni siano state modificate per ottenere una proporzione gradevole tra dente esposto e gengiva esposta.
Smile make-over
Il seguente caso è complesso, con problemi da risolvere non è solo a livello dei vecchi restauri difettivi (laterali, premolare, ponte oro-resina inferiore), ma anche per le irregolarità livello gengivale e occlusale
Interventi chirurgici e ortodontici hanno ottimizzato le parabole gengivali e l’allineamento dentale.
Notate come, nel lavoro finito, l’estetica dentale e quella gengivale insieme contribuiscano a creare una condizione di armonia e di equilibrio tra le sue componenti.
Un difetto nei tessuti circostanti, infatti, non può essere compensato dalla qualità del restauro dentale e viceversa.
Questo è un altro caso dove il lavoro d’equipe è stato fondamentale per il risultato estetico.
In questa bocca gli incisivi laterali non sono mai nati (agenesia) ed i canini hanno preso il loro posto. E’ rimasto anche uno spazio interincisivo (diastema). I primi premolari sono ruotati e malposizionati e i II premolari permanenti sono mancanti.
Fasi Operatorie dell'Intervento
Come è noto, la forma dei canini ed il loro colore li rende inadatti per armonizzarsi in un sorriso al posto degli incisivi laterali.
Per ovviare a questo problema è stato necessario spostare i canini (soprattutto la loro radice, molto superficiale) all’interno e fargli assumere con l’ortodonzia una posizione più idonea per poter essere poi “camuffati” da incisivi laterali con delle faccette (valutazione da parte del tecnico della forma, per dare l’illusione ottica di ridurre il diametro del canino a quello di un laterale.
Al posto dei premolari mancanti il dr. Boggiano ha inserito degli impianti con la tecnica del carico immediato (vedi menù)
e questo è il risultato finale, il cui successo estetico è dipeso dall’approccio globale a tutta la bocca e dall’attenzione al singolo particolare da parte del nostro team.





















